

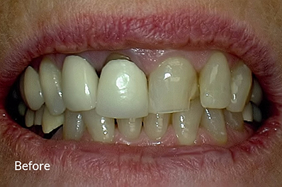
Whether it’s customized veneers, dental crowns, or dental implants, the evidence is clear – our patients in Phoenix always walk away pleased with their results, and so will you. Take a look for yourself and call us to learn more about the services featured below.
About Us Meet Dr. Tran Meet the Team Tour Our Office View Our Services